Las caries dentales suelen considerarse un problema menor, asociado al dolor o la pérdida de un diente. Sin embargo, si no se tratan a tiempo, pueden derivar en complicaciones graves que, en casos excepcionales, amenazan la vida.

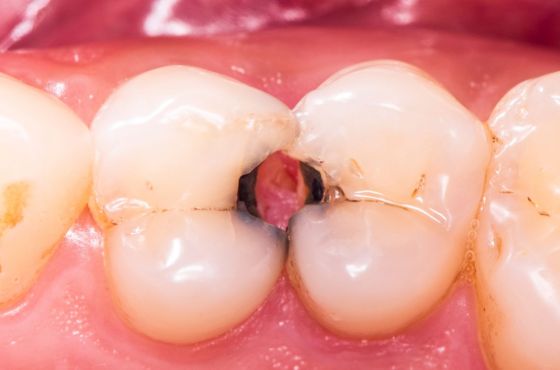
Las caries se originan cuando las bacterias de la boca descomponen azúcares de los alimentos y producen ácidos que dañan el esmalte dental. Si el daño alcanza la pulpa del diente, donde se encuentran nervios y vasos sanguíneos, puede formarse un absceso dental. En este punto, la infección puede propagarse más allá del diente.
Una infección no tratada puede extenderse a tejidos cercanos del rostro y cuello, provocando celulitis facial o la angina de Ludwig, que puede obstruir las vías respiratorias. Además, las bacterias pueden ingresar al torrente sanguíneo y generar sepsis, una respuesta inflamatoria generalizada que pone en riesgo órganos vitales y puede ser mortal sin atención inmediata.

El riesgo aumenta en personas con acceso limitado a servicios odontológicos, sistemas inmunológicos debilitados, enfermedades crónicas como la diabetes o uso prolongado de ciertos medicamentos. En estos casos, una caries aparentemente leve puede evolucionar rápidamente hacia una infección severa.
La prevención es clave. Mantener una higiene bucal adecuada, visitar al dentista con regularidad y tratar las caries en etapas iniciales reduce significativamente el riesgo de complicaciones graves. También es importante no ignorar síntomas como dolor intenso, inflamación, fiebre o dificultad para abrir la boca, ya que pueden indicar infección avanzada.

En conclusión, aunque las caries por sí solas no son mortales, sí pueden llegar a serlo si se complican y no reciben tratamiento oportuno. El cuidado dental es, por tanto, un componente esencial de la salud general.


Lectura 1 - 2 minutos